CASOS CLÍNICOS

Os resultados dos nossos pacientes são um espelho do nosso trabalho, e a felicidade deles é a garantia de que os nossos casos são um sucesso.

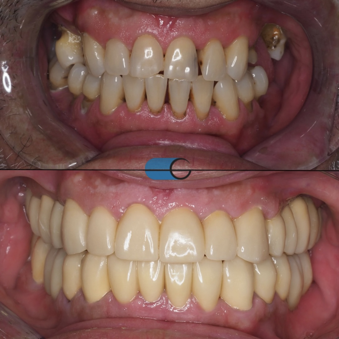
Prótese fixa

Alinhadores Invisíveis

Implantes Dentários

Implantes Dentários

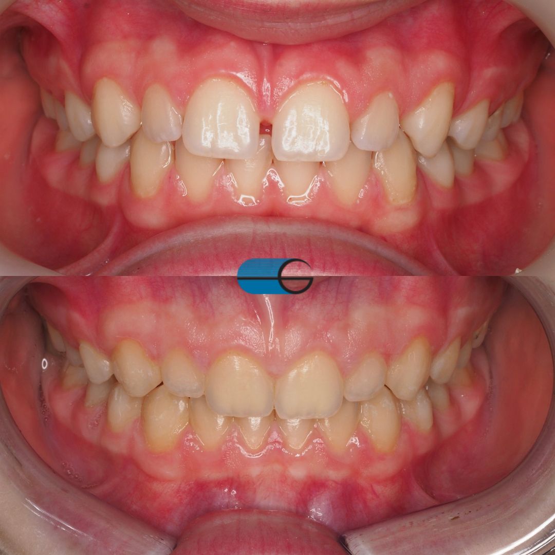
Ortodontia convencional

Branqueamento dentário

A Clínica Dentária Girotto em Setúbal, apresenta um serviço de qualidade, baseado na Inovação, integrando num só espaço diversas áreas de especialidade dentária.

Estrada de Palmela, 57 – 1º, 2900-534 Setúbal

Telefone: 265 236 256 Custo de chamada para a rede fixa nacional.
Telemóvel: 915 696 192
Email: geral@girottoclinica.pt